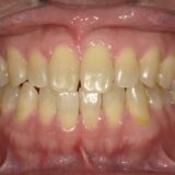
| 患者 | 9歳女性 |
|---|---|
| 主訴 | ガタガタ(叢生) |
| 診断名 | 叢生 |
| 治療内容 | マルチブラケット装置(ワイヤー矯正) |
| 抜歯の有無 | 非抜歯 |
| 治療期間 | 5年4か月 |
| 費用(税込) | 718,200円 |
| リスクと副作用 | 痛み等、歯根吸収/歯肉退縮、後戻り、むし歯・歯肉炎の可能性(抜歯あり:痛み・腫れ)。 |
【医師コメント】
前歯のガタつきを心配されて、お母さまと一緒にご相談に来られました。
成長途中の骨格と歯列を丁寧に見極めながら、非抜歯でスペースを作る設計を選択。小児の矯正治療から成人矯正へ途中移行し、トータル5年4か月かけてワイヤー装置で自然なアーチと安定した噛み合わせに仕上げました。
成長期からの矯正は、将来のバランスを見据えた長期的な設計が可能です。仕上がりも自然で、清潔感ある印象に変化しました。





