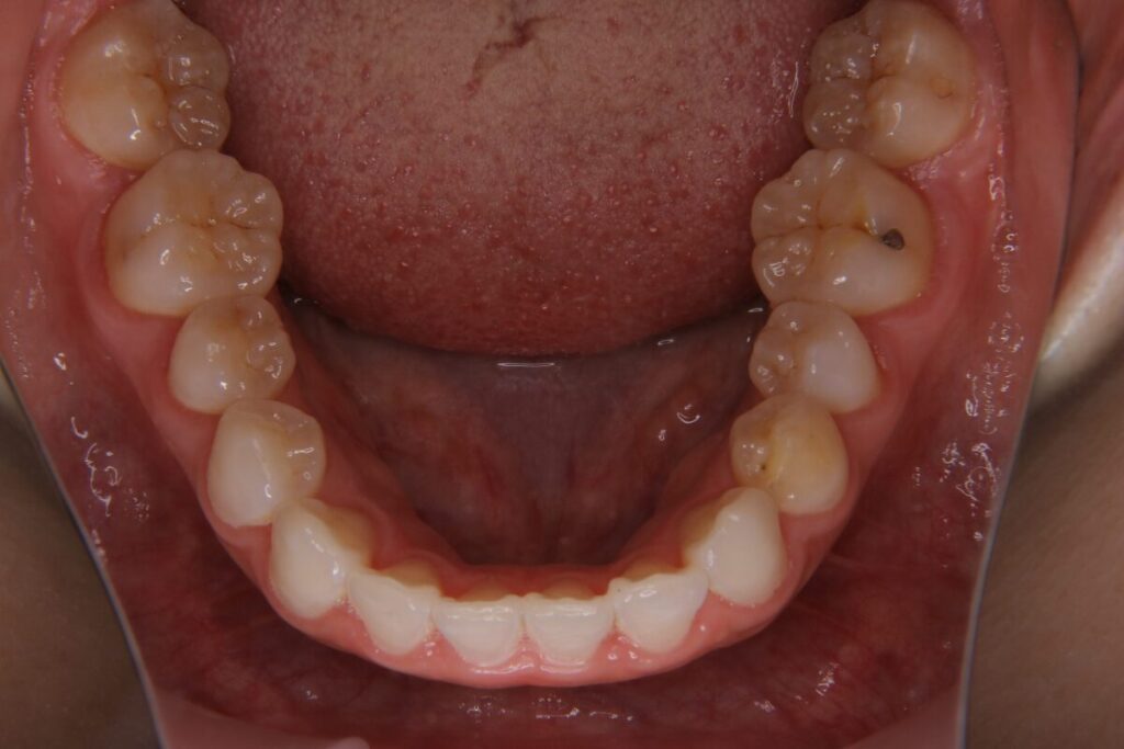
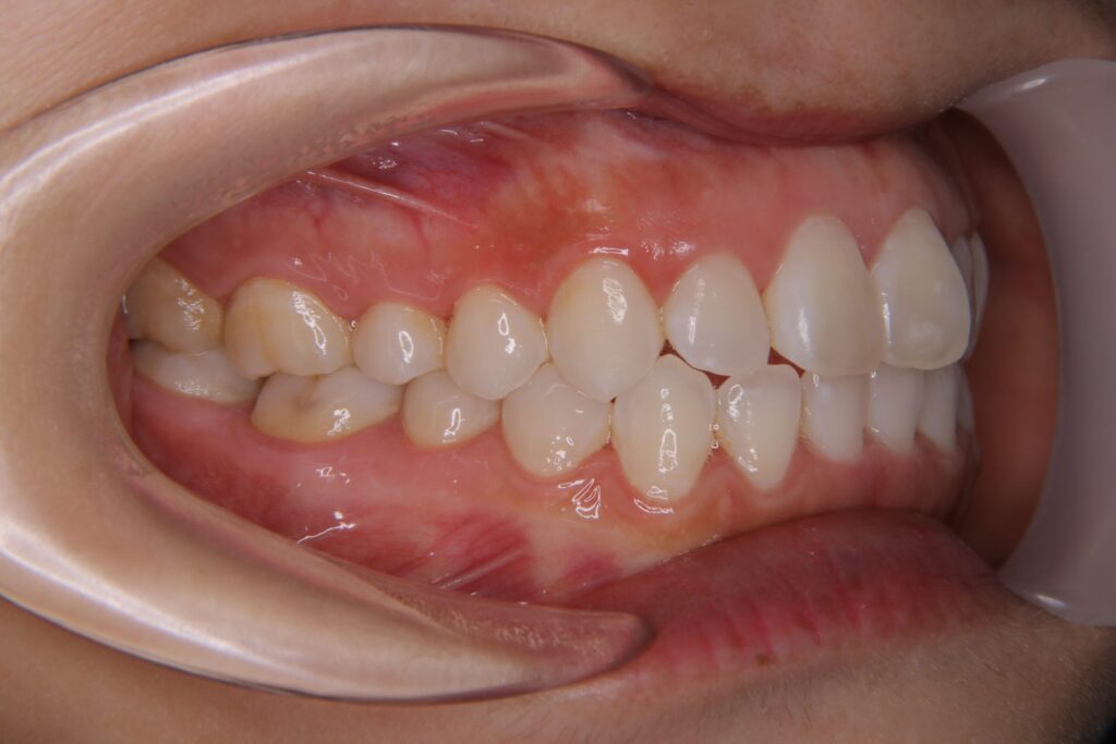
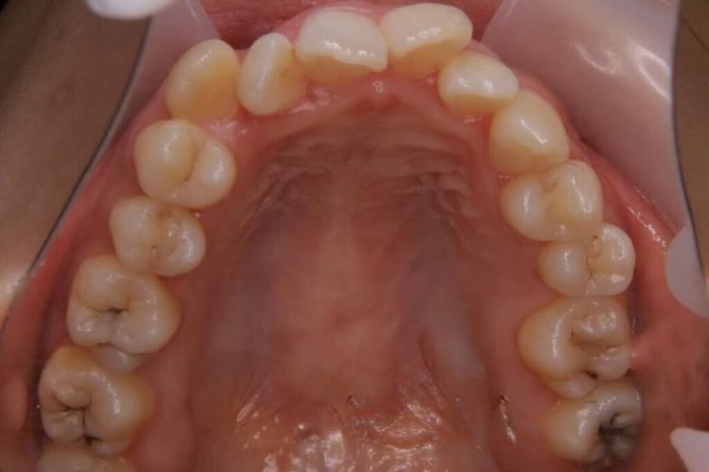
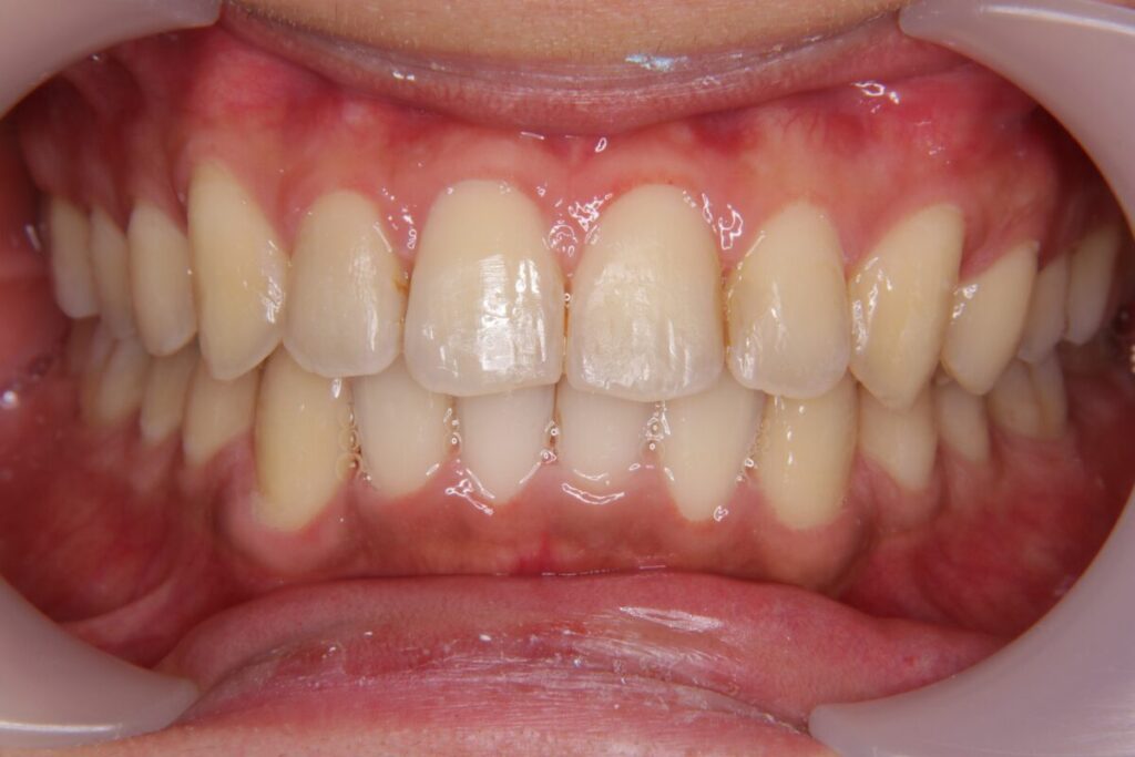
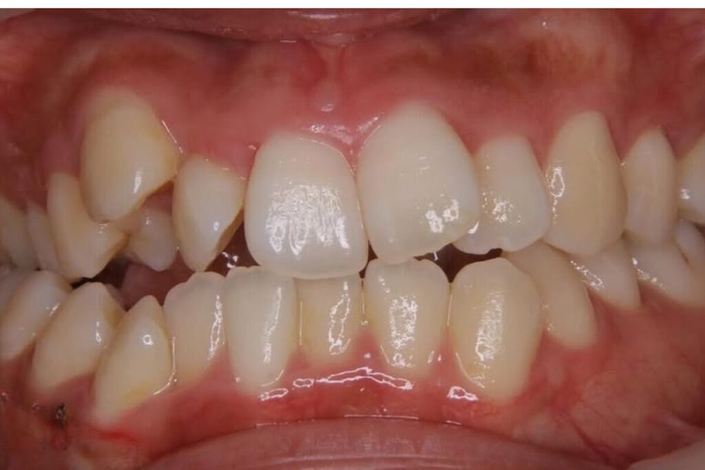
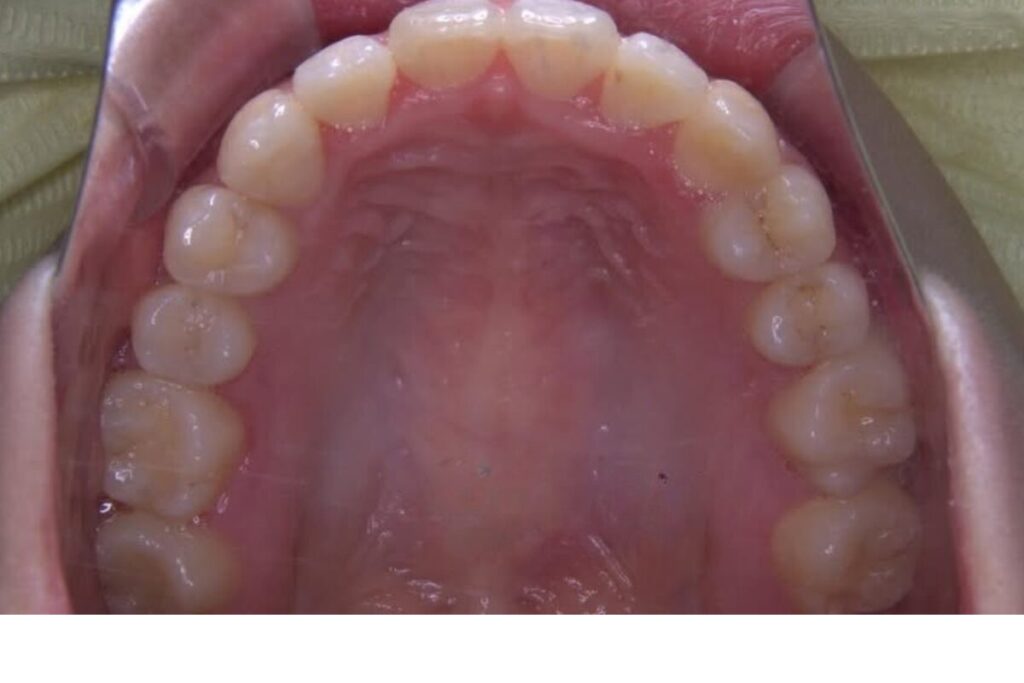
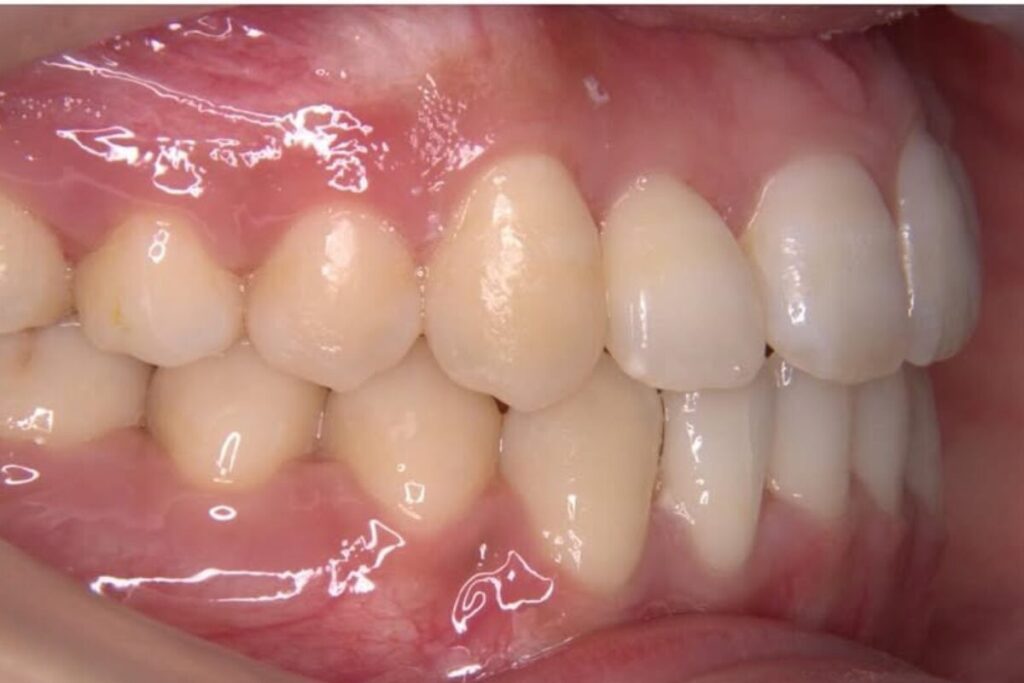
歯が並ぶスペースが足りず、前後にデコボコした状態──「叢生(そうせい)」と呼ばれる歯並びです。
スマイルアクセス矯正歯科では、歯列全体のアーチバランスを診断し、無理のない設計で整えていきます。
smile access 矯正歯科|マウスピース型矯正装置(インビザライン公式スピーカーが監修)
歯が並ぶスペースが足りず、前後にデコボコした状態──「叢生(そうせい)」と呼ばれる歯並びです。
スマイルアクセス矯正歯科では、歯列全体のアーチバランスを診断し、無理のない設計で整えていきます。
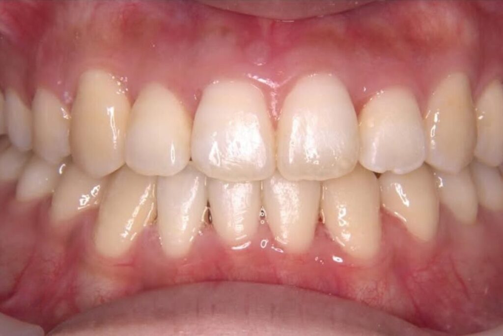
| 患者 | 28歳男性 |
|---|---|
| 主訴 | 歯ならびのガタガタ |
| 診断名 | UR7/LR7クロスバイトと上下叢生を伴うAngleⅠ級sk.1不正咬合 |
| 治療内容 | マウスピース型矯正装置(インビザライン)、部分的に上顎前歯部にワイヤー併用 |
| 抜歯の有無 | 非抜歯 |
| 治療期間 | 2年 |
| 費用(税込) | 594,000円 |
| リスクと副作用 | 痛み等、歯根吸収/歯肉退縮、後戻り、むし歯・歯肉炎の可能性。 |
【医師コメント】
上下のガタつきで来院された患者さんです。
精密検査の結果、UR7/LR7のクロスバイト(交叉咬合)と上下の叢生を伴う AngleⅠ級(sk.1)不正咬合 と診断しました。奥歯の前後関係はⅠ級で大きなズレは強くない一方、奥歯の噛み合わせのズレとスペース不足が原因でした。
治療はインビザラインを主体に非抜歯で計画し、歯列全体のバランスとかみ合わせの安定を意識しながら段階的に改善を進めました。
終盤、UL2のローテーションがわずかに残ったため、仕上げの精度を高める目的で上顎前歯部に部分的にワイヤーを併用しています。
治療は計画に沿って進行し、2年で歯列の配列とかみ合わせの改善を図ることができました。
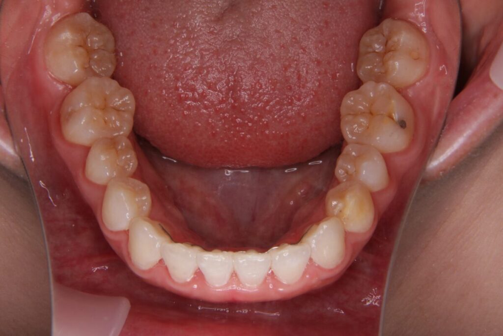
| 患者 | 23歳女性 |
|---|---|
| 主訴 | 歯ならびのガタガタ、欠損歯 |
| 診断名 | 下顎先天欠如を伴う叢生 |
| 治療内容 | マウスピース型矯正装置(インビザライン) |
| 抜歯の有無 | 抜歯(上顎両側第一小臼歯) |
| 治療期間 | 2年4か月 |
| 費用(税込) | 968,000円 |
| リスクと副作用 | 痛み等、歯根吸収/歯肉退縮、後戻り、むし歯・歯肉炎の可能性(抜歯あり:痛み・腫れ)。 |
【医師コメント】
重度のガタつきに加えて「噛みにくい」との主訴で来院された患者さんです。
精密検査の結果、下顎の先天欠如を伴う叢生と診断しました。スペース確保ならびに下顎と歯の本数を合わせるため上顎両側第一小臼歯を抜歯し、マウスピース型矯正装置を主体に治療を計画しました。
歯の移動をより正確にコントロールする目的で、必要に応じて歯科矯正用アンカースクリューも併用し、歯列全体のバランスとかみ合わせの安定を意識しながら進めています。
治療は計画に沿って進行し、2年4か月で歯列の配列とかみ合わせの改善を図ることができました。
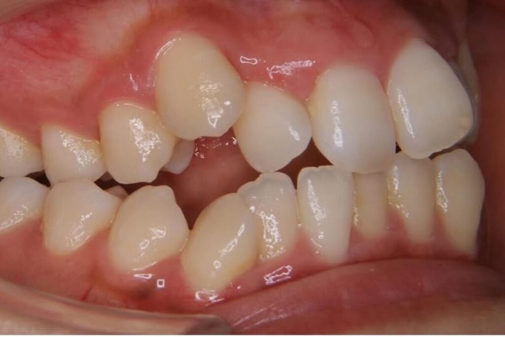
| 患者 | 44歳男性 |
|---|---|
| 主訴 | 前歯のガタガタ、ねじれ |
| 診断名 | U1翼状捻転を伴うAngle I級症例 |
| 治療内容 | マウスピース型矯正装置(インビザライン) |
| 抜歯の有無 | 非抜歯 |
| 治療期間 | 6か月 |
| 費用(税込) | 495,000円 |
| リスクと副作用 | 痛み等、歯根吸収/歯肉退縮、後戻り、むし歯・歯肉炎の可能性。 |
【医師コメント】
前歯のねじれが気になり来院された患者さんです。
奥歯の前後関係はAngleⅠ級で大きなズレはなく、主な課題は前歯(U1)の捻転でした。
そのため、歯の回転と前歯の並びを整えることを目的に、非抜歯のマウスピース型矯正装置(インビザライン)が適応と判断しました。
装着状況も良好で、計画通りに回転をコントロールし、6か月で前歯の捻転と歯列のラインを整えることができました。マウスピースの枚数が少ないプランだったため、費用も抑えて治療をすることができました。
| 患者 | 29歳女性 |
|---|---|
| 主訴 | ガタガタ、噛めない |
| 診断名 | 骨格性下顎前突・非対称 |
| 治療内容 | マルチブラケット装置(ワイヤー矯正)、歯科矯正用アンカースクリュー |
| 抜歯の有無 | 抜歯(下顎右側側切歯) |
| 治療期間 | 1年11か月 |
| 費用(税込) | 968,000円 |
| リスクと副作用 | 痛み等、歯根吸収/歯肉退縮、後戻り、むし歯・歯肉炎の可能性(抜歯あり:痛み・腫れ)。 |
【医師コメント】
20代女性の骨格性下顎前突・非対称の症例です。
通常は外科手術が第一選択となるレベルの難症例でしたが、患者様の強いご希望によりワイヤー矯正とアンカースクリューで対応しました。
下顎右側側切歯を抜歯し、左右差を意図的に残しながら噛ませる工夫を行うことで、噛み合わせを安定させています。
オペを避けつつも機能的な改善を実現しましたが、外科矯正が適応となるケースでは保険適用の可能性もあり、選択肢提示を大切にしています。
| 患者 | 18歳女性 |
|---|---|
| 主訴 | ガタガタ(叢生)、出っ歯 |
| 診断名 | 叢生を伴う歯性上下顎前突 |
| 治療内容 | マルチブラケット装置(ワイヤー矯正) |
| 抜歯の有無 | 抜歯(上顎両側第二大臼歯、上下左右第一小臼歯抜歯) |
| 治療期間 | 3年8か月 |
| 費用(税込) | 836,000円 |
| リスクと副作用 | 痛み等、歯根吸収/歯肉退縮、後戻り、むし歯・歯肉炎の可能性(抜歯あり:痛み・腫れ)。 |
【医師コメント】
前歯の突出感と歯並びのガタつきを気にされてご相談いただきました。
上下の前歯がともに前方へ傾き、叢生を伴う歯性の前突が見られる症例で、抜歯を伴うワイヤー矯正を適応しています。歯の傾斜や位置を丁寧に整え、3年8か月かけて噛み合わせと歯列のバランスを調整。笑顔が自然で、口元にすっきりとした印象が生まれました。
ただ抜歯をして並べるだけではなく、口元や笑顔の感じも踏まえると、診断の精度が鍵となります。
| 患者 | 17歳女性 |
|---|---|
| 主訴 | ガタガタ(叢生) |
| 診断名 | 叢生 |
| 治療内容 | マルチブラケット装置(ワイヤー矯正) |
| 抜歯の有無 | 抜歯(上下顎左右第一小臼歯) |
| 治療期間 | 5年2か月 |
| 費用(税込) | 723,187円 |
| リスクと副作用 | 痛み等、歯根吸収/歯肉退縮、後戻り、むし歯・歯肉炎の可能性(抜歯あり:痛み・腫れ)。 |
【医師コメント】
前歯のガタつきを気にされてご相談いただきました。歯の重なりが強く、抜歯によるスペース確保が必要な叢生のケースでした。
ワイヤー装置を用いて歯の角度や位置を丁寧に調整しながら、4年10か月かけて少しずつ歯列全体のバランスを整えていきました。噛み合わせが安定し、ガタつきのないすっきりとした口元へと変化。
時間をかけてでも丁寧に仕上げることで、見た目と機能の両面で高い満足度につながります。
| 患者 | 24歳男性 |
|---|---|
| 主訴 | ガタガタ(叢生) |
| 診断名 | 叢生 |
| 治療内容 | マウスピース型矯正装置(インビザライン) |
| 抜歯の有無 | 非抜歯 |
| 治療期間 | 9か月 |
| 費用(税込) | 836,000円 |
| リスクと副作用 | 痛み等、歯根吸収/歯肉退縮、後戻り、むし歯・歯肉炎の可能性。 |
【医師コメント】
歯並びのガタつき(叢生)を気にされて来院された患者さんです。
骨格的な問題はなく、歯列の幅やスペースの調整によって非抜歯でのマウスピース矯正(インビザライン)が適応と判断しました。アライナーの装着状況も非常に良好で、治療は計画通りスムーズに進行し、約9か月で歯列のアーチを整えることができました。
このような軽度の叢生であれば、正確な診断と日々のセルフケアを両立することで、短期間で無理なく治療を完了できるケースが多く見られます。
| 患者 | 49歳女性 |
|---|---|
| 主訴 | ガタガタ(叢生)、前歯の突出 |
| 診断名 | 叢生を伴う歯性上顎前突 |
| 治療内容 | マウスピース型矯正装置(インビザライン) |
| 抜歯の有無 | 非抜歯 |
| 治療期間 | 1年2か月 |
| 費用(税込) | 679,250円 |
| リスクと副作用 | 痛み等、歯根吸収/歯肉退縮、後戻り、むし歯・歯肉炎の可能性。 |
【医師コメント】
前歯の突出感と歯列のガタつき(叢生)を主訴に来院された患者さんです。
診断の結果、骨格的なズレは小さく、歯の位置の調整によって非抜歯での改善が可能と判断しました。
マウスピース型矯正装置(インビザライン)を用い、1年2か月という比較的短期間で、前突感の軽減と歯列の整直を両立することができました。
叢生を伴う歯性上顎前突の症例では、適切な治療設計と装着管理によって、無理なく自然な口元を目指すことが可能です。
| 患者 | 26歳男性 |
|---|---|
| 主訴 | ガタガタ、噛めない |
| 診断名 | 叢生 |
| 治療内容 | マウスピース型矯正装置(インビザライン) |
| 抜歯の有無 | 非抜歯 |
| 治療期間 | 12か月 |
| 費用(税込) | 679,250円 |
| リスクと副作用 | 痛み等、歯根吸収/歯肉退縮、後戻り、むし歯・歯肉炎の可能性。 |
【医師コメント】
前歯のガタつきが気になるとのことでご相談いただきましたが、精密検査の結果、原因は奥歯の噛み合わせのズレにありました。
部分矯正だけでは見た目は整っても噛み合わせの不具合が残り、将来的に歯への負担が増すリスクがあります。
そのため全体矯正を行い、奥歯から前歯までバランスを取り直しました。結果、ガタつきが解消され、噛み合わせも安定し、機能面でも長期的に安心できる仕上がりとなりました。
| 患者 | 40歳女性 |
|---|---|
| 主訴 | ガタガタ、噛めない |
| 診断名 | 叢生を伴う骨格性下顎後退 |
| 治療内容 | マウスピース型矯正装置(インビザライン) |
| 抜歯の有無 | 非抜歯 |
| 治療期間 | 9か月 |
| 費用(税込) | 627,000円 |
| リスクと副作用 | 痛み等、歯根吸収/歯肉退縮、後戻り、むし歯・歯肉炎の可能性。 |
【医師コメント】
15年ほど前に矯正治療を受けられていた方で、後戻りによる再治療のご相談でした。
精密検査の結果、骨格的な問題は少なく、噛み合わせの基盤も大きく崩れていなかったため、部分矯正での対応が可能と判断しました。
インビザラインを19枚+追加分で治療を行い、9か月で完了。前歯のねじれや重なりが整い、奥歯も起き上がったことで、噛み合わせが安定しました。