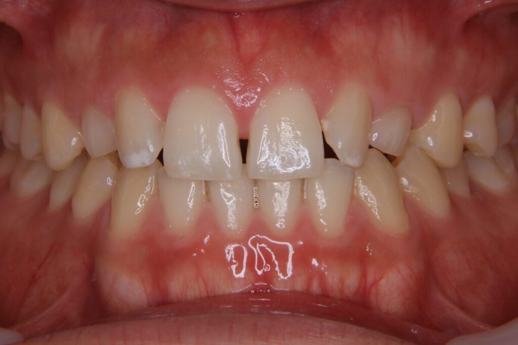
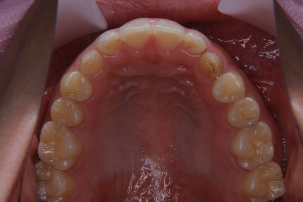
すきっ歯(空隙歯列)とは、歯と歯の間にすき間がある歯並びのことです。
一見、前歯だけを動かす部分矯正で治ると思われがちですが、かみ合わせや歯列全体のバランス次第では全体の移動が必要なケースも少なくありません。
また、背景には出っ歯・開咬・過蓋咬合・交叉咬合など、他の不正咬合が関わっていることもあります。
そのため、精密検査に基づく診断で適応を判断することが大切です。
smile access 矯正歯科|マウスピース型矯正装置(インビザライン公式スピーカーが監修)
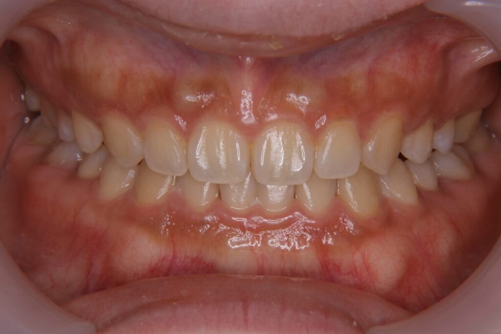
すきっ歯(空隙歯列)とは、歯と歯の間にすき間がある歯並びのことです。
一見、前歯だけを動かす部分矯正で治ると思われがちですが、かみ合わせや歯列全体のバランス次第では全体の移動が必要なケースも少なくありません。
また、背景には出っ歯・開咬・過蓋咬合・交叉咬合など、他の不正咬合が関わっていることもあります。
そのため、精密検査に基づく診断で適応を判断することが大切です。
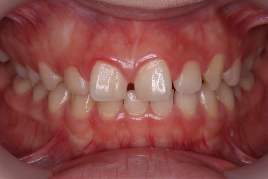
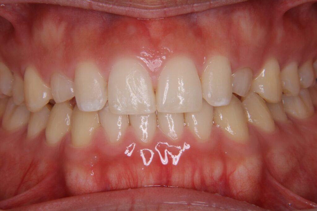
| 患者 | 24歳女性 |
|---|---|
| 主訴 | すきっ歯 |
| 診断名 | UL7MTを伴う骨格性下顎前突・非対称を伴う空隙歯列 |
| 治療内容 | マウスピース型矯正装置(インビザライン) |
| 抜歯の有無 | 非抜歯 |
| 治療期間 | 3年3か月 |
| 費用(税込) | 769,500円 |
| リスクと副作用 | 痛み等、歯根吸収/歯肉退縮、後戻り、むし歯・歯肉炎の可能性。 |
【医師コメント】
歯のすき間を気にされてご相談いただきました。
診断では、左上第2大臼歯の萌出遅延に加え、骨格性の下顎前突と非対称を伴う空隙歯列と判断。非抜歯でスペースの配分と噛み合わせの位置関係を調整しながら、インビザラインで前後・左右の咬合バランスを整えました。
補綴を入れるためのスペース獲得に難儀し、長期にわたる治療となりましたが、3年3か月で自然な横顔と咬合の安定を獲得。複合的な課題にも、計画的な対応が成果を生みます。
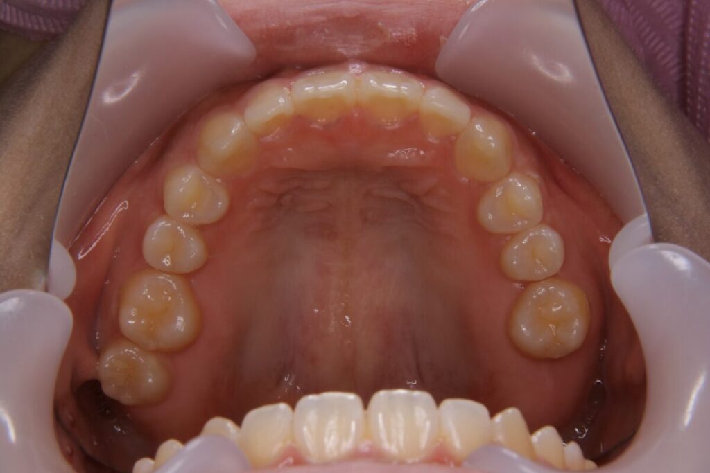
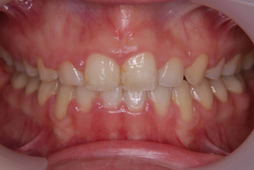
| 患者 | 22歳女性 |
|---|---|
| 主訴 | すきっ歯 |
| 診断名 | 右上3欠損を伴う空隙歯列 |
| 治療内容 | マルチブラケット装置(ワイヤー矯正) |
| 抜歯の有無 | 抜歯(上顎左側第一小臼歯) |
| 治療期間 | 2年8か月 |
| 費用(税込) |
836,000円 |
| リスクと副作用 | 痛み等、歯根吸収/歯肉退縮、後戻り、むし歯・歯肉炎の可能性(抜歯あり:痛み・腫れ)。 |
【医師コメント】
上下のすき間と上の前歯の突出感を気にされてご相談いただきました。診断では右上の犬歯の先天欠損により空隙が生じ、咬合バランスにも影響を与えていました。
左右差を考慮し、必要な部位を抜歯のうえ、ワイヤー矯正で前歯の突出感とすき間を丁寧に調整。2年8か月かけて、口元全体が自然にまとまるようコントロールしました。
欠損歯を含むケースでは、左右のバランス設計が治療の要になります。
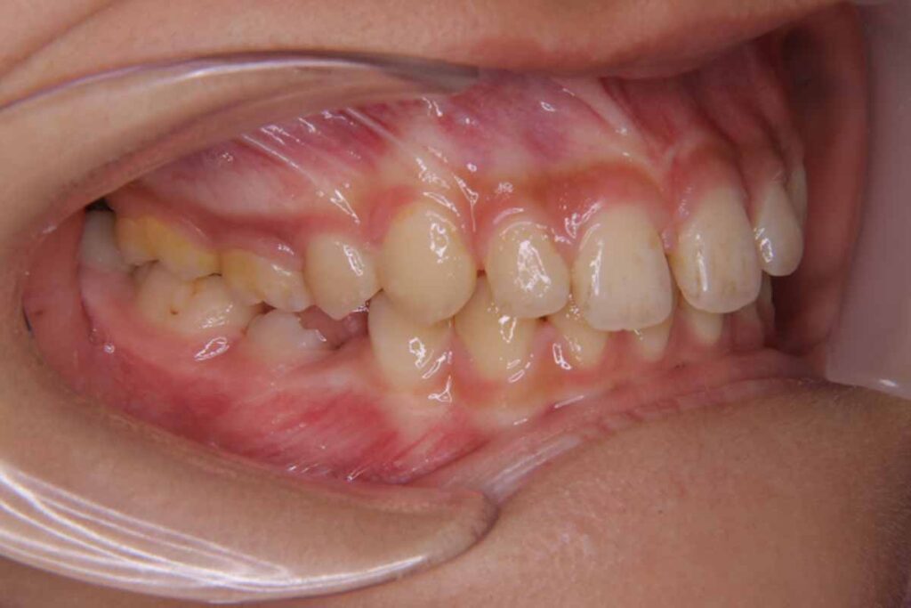
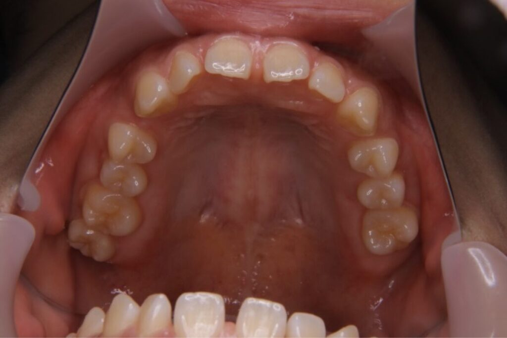
| 患者 | 12歳女性 |
|---|---|
| 主訴 | 前歯のスペース、横から見て下顎が出ている |
| 診断名 | LL2MT、空隙歯列を伴う骨格性下顎前突、過蓋咬合 |
| 治療内容 | マルチブラケット装置(ワイヤー矯正) |
| 抜歯の有無 | 非抜歯(乳歯抜歯) |
| 治療期間 | 3年9カ月 |
| 費用(税込) | 836,000円 |
| リスクと副作用 | 痛み等、歯根吸収/歯肉退縮、後戻り、むし歯・歯肉炎の可能性(抜歯あり:痛み・腫れ)。 |
【医師コメント】
前歯のすき間と横顔の下顎の出方を気にされてご相談いただきました。
診断では上顎犬歯の先天欠損に加え、下顎の前突傾向と過蓋咬合がみられる複合的な症例でした。乳歯をタイミングよく抜歯し、ワイヤー矯正でスペースを誘導しながら歯列と咬合のバランスを調整。
時間をかけて慎重に噛み合わせを築きました。成長期に適切なタイミングで治療を始めたことで、将来を見据えた安定した結果につながりました。
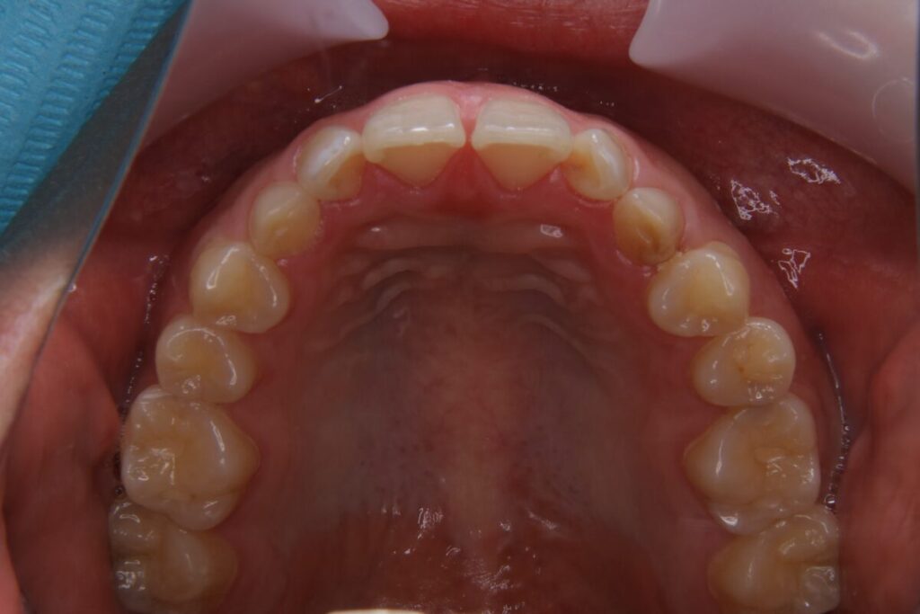
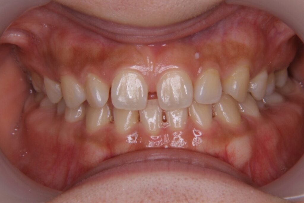
| 患者 | 23歳男性 |
|---|---|
| 主訴 | 隙っ歯 、乳歯が残っている。 |
| 診断名 | U33先天欠損を伴う空隙歯列 |
| 治療内容 | マウスピース型矯正装置(インビザラインモデレート) |
| 抜歯の有無 | 非抜歯 |
| 治療期間 | 1年7か月 |
| 費用(税込) |
715,000円 |
| リスクと副作用 | 痛み等、歯根吸収/歯肉退縮、後戻り、むし歯・歯肉炎の可能性。 |
【医師コメント】
前歯のすき間と、乳歯が残っていることを気にされてご相談いただきました。
診断では、上顎犬歯の先天欠損が原因で空隙歯列が形成されており、自然な咬合への誘導が必要なケースでした。
非抜歯でスペースを適切に再配分し、マウスピース型矯正装置で全体の歯列バランスを整えました。
1年7か月で隙間も閉じ、乳歯の管理も含めた自然な仕上がりに。欠損を伴う症例では、将来を見据えた設計が重要になります。
| 患者 | 50歳女性 |
|---|---|
| 主訴 | 空隙歯列 |
| 診断名 | 開咬・歯性下顎前突を伴う空隙歯列 |
| 治療内容 | マルチブラケット装置(ワイヤー矯正) |
| 抜歯の有無 | 非抜歯 |
| 治療期間 | 2年3か月 |
| 費用(税込) | 820,800円 |
| リスクと副作用 | 痛み等、歯根吸収/歯肉退縮、後戻り、むし歯・歯肉炎の可能性。 |
【医師コメント】
長年前歯で噛みにくいことと、すき間が目立つ歯並びを気にされていて、ご相談いただきました。
開咬と歯性の下顎前突に加え、空隙歯列も伴う複雑な咬合であったため、非抜歯にてコントロールを行いながらワイヤーで細かく調整。
奥歯の咬合安定とともに、前歯の接触点もしっかりと確保できました。2年3か月の治療を経て、見た目と機能の両面で大きな変化を感じていただけたかと思います。