
出っ歯治療の
落とし穴を避けるために
「引っ込みすぎて口元が貧相になった」
出っ歯治療では、こうした後悔が少なくありません。
原因は、骨格を考慮せずに歯だけを下げてしまうこと。
出っ歯には歯の傾きだけでなく骨格が関係しているケースも多く、
歯だけを見て下げると、適切な下げ幅を見誤りやすいのです。
だからこそ当院では、治療前の「診断」を何より大切にしています。
前歯の位置、噛み合わせ、骨格バランスを総合的に分析し、無理のない仕上がりを目指します。
当院の治療方針を、3つのポイントでご説明します。
― 当院の出っ歯矯正 ―
出っ歯(上顎前突)の症例写真を紹介
20代女性
20代女性|歯性上顎前突をワイヤー矯正(抜歯)(約2年3か月・880,000円)
「口が閉じにくい」というお悩みで来院されました。診断の結果、上顎前歯が前方に大きく傾斜している「歯性上顎前突」と判明。抜歯後、ワイヤーで前歯を後方へコントロール。唇が自然に閉じられるようになり、口元の印象も大きく変化。
主なリスク・副作用:痛み、歯根吸収、後戻りなど※結果には個人差があります。
10代女性
10代女性|歯性上顎前突(口ゴボ・出っ歯)をインビザライン+アンカースクリュー(抜歯)(2年3か月・820,800円)
前歯の出っ張りと口元の突出感を気にされてご相談いただきました。
前歯の傾きによる歯性上顎前突と診断し、抜歯によってスペースを確保しながら歯列全体を整える方針に。インビザラインで前歯の角度と位置を丁寧にコントロールし、2年3か月で自然な横顔と噛み合わせが仕上がりました。
骨格に大きなずれがない場合は、抜歯を含めた精密な設計で、見た目と機能を両立することが可能です。
主なリスク・副作用:痛み、歯根吸収、後戻りなど※結果には個人差があります。
40代男性
40代男性|歯槽性上顎前突をインビザライン(抜歯)(1年9か月・810,000円)
前歯の突出感を気にされてご相談いただきました。診断の結果、骨格的なずれは少なく、歯の傾きによる歯槽性の上顎前突と判断。
抜歯によるスペース確保と、マウスピース型矯正装置を用いた前歯の後退設計によって、横顔の印象を丁寧に整えていきました。1年9か月という比較的短期間で、自然な口元と安定したかみ合わせが得られています。
オンラインモニタリングで、来院回数は4回だけで治療が終わっていることも特筆すべき点です。
主なリスク・副作用:痛み、歯根吸収、後戻りなど※結果には個人差があります。
30代女性
30代女性|開咬及び叢生を伴う骨格性上顎前突をワイヤー+インビザラインの併用治療(抜歯)(2年7か月・820,800円)
前歯で噛めないことと、口元の突出感を気にされて来院されました。開咬と叢生を伴う骨格性の上顎前突で、精密なコントロールが求められる難症例でした。
抜歯でスペースを確保し、ワイヤーとマウスピースを併用しながら前歯の角度やかみ合わせを調整。2年7か月の治療で、上下の噛み合わせが整い、横顔のラインも自然な印象に。複合的な症例ほど、柔軟な治療設計が重要になります。
主なリスク・副作用:痛み、歯根吸収、後戻りなど※結果には個人差があります。
スペース設計なくして
出っ歯改善なし
出っ歯を治すために必要なのは、
前歯を後方へ移動させること。

そのために不可欠なのが、“移動先のスペース”確保です。
前歯が下がる先にスペースがなければ、
物理的に動かすことができません。
スペースを作る主な方法は以下の4つ。

① 抜歯(大きくスペースを確保)
②
遠心移動(奥歯を後ろに移動)
③ 歯列の拡大(アーチを広げる)
④ IPR(歯と歯の間を少し削る)
どの方法を選ぶかは、「どこまで下げるか」というゴール次第で変わります。
ゴールが曖昧だと、必要なスペース量が定まらず、設計が不足したり過剰になったりしがちです。
結果として、
「思ったほど引っ込まなかった」
「下げすぎて口元が貧相になった」
というギャップが生まれることも。
だからこそ当院では、精密な診断でゴールを明確にし、そこから逆算してスペース設計を行います。
ではどうやって
ゴールを決めるのか?
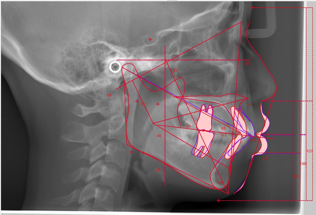
頭部X線規格写真(セファロ)
骨格・歯の位置を数値化して分析
安全ライン(下げ幅の上限)算出
歯根や骨を守る安全な移動量を計算
シミュレーション共有
3D画面で仕上がりイメージを確認
当院の出っ歯矯正は
精密な診断を最重視

当院が出っ歯矯正で大切にしているのは、前歯をどこまで下げるかの見極めです。
出っ歯の見え方は、前歯の傾きだけでなく、あごの前後位置(骨格)も関係しています。
歯の角度だけを見て治療を進めると、「下がったけど口元が貧相になった」といったギャップが生まれやすくなります。
そのため当院では、歯と骨格の両面から”ベストな下げ幅”を見極める診断を行っています。
出っ歯治療
3つのアプローチ
出っ歯にはワイヤー矯正がいい?
そう思われがちですが、症状によってはマウスピースでも十分対応できます。
ただし、骨格の影響が大きいケースや、大幅な後退が必要な場合は、ワイヤーのほうが適していることも。
大切なのは、ご自身に合った装置を選ぶこと。
ワイヤーとマウスピースにはそれぞれ得意な動きがあり、両方を組み合わせた「コンビネーション矯正」という選択肢もあります。
ワイヤー矯正
5,000症例以上
マウスピース矯正
1,000症例以上
「マウスピースでは治らないと言われた」という方も、まずは一度ご相談ください。
両方の装置を駆使し、あなたの出っ歯に最適な治療法を見つけ出します。
マウスピース矯正 ─ 奥歯を後ろへ送ってスペースを作る

(非抜歯など)
マウスピース矯正は、奥歯を少しずつ後方へ動かす(遠心移動)設計がしやすく、非抜歯で治療できる可能性を広げます。
装置が透明で目立ちにくく、日常生活に取り入れやすいのもメリットです。
当院でも、約80%の患者さまがマウスピース矯正で治療を受けています。
当院で導入している「インビザライン」とは?
世界中で1,500万人以上の治療実績を持つ、信頼性の高いマウスピース矯正システムです。
膨大な症例データを活用したAIシミュレーションにより、「どのくらい歯が動くか」を治療前に高い精度で予測できます。
重要なのはドクターの「設計力」
インビザラインは優れたツールですが、ソフト任せでは理想の歯並びにはなりません。
前歯をどの角度で・どこまで下げるかを決めるのは、システムではなくドクターの設計力だからです。
当院では、インビザライン公式スピーカーである院長の監修のもと、骨格バランスまで計算に入れた治療計画を立案しています。
料金(税込)
※インビザライン・独自アライナーなど、症状に応じて選定
ワイヤー矯正 ─ 歯の根元から角度をコントロール
「前歯を下げたら、口元が薄くなって老けて見えるようになった…」
実は、出っ歯治療でよくある失敗のひとつです。
この原因のひとつが、前歯の倒れすぎ。
内側に倒れすぎると唇の支えが減り、口元が貧相に見えることがあります。
特に抜歯を伴う重度のケースでは、大きく動かす分、角度のコントロールが難しくなります。

ワイヤー矯正なら、ブラケットとワイヤーで歯を安定してホールドできるため、歯根の角度を保ちながら下げる設計がしやすいのが特徴。
仕上がりのギャップを防ぎやすくなります。
料金(税込)
コンビネーション矯正 ─ 大きな移動はワイヤー、仕上げはマウスピース

できるだけ目立たず治したい方
「矯正をできるだけ目立たせたくない」
「でもマウスピースだけでは難しいと言われた」
そんな方には、ワイヤーとマウスピースを組み合わせた治療法があります。
最初の一定期間(目安:半年〜1年)はワイヤーで大きく動かし、その後はマウスピースで仕上げ。
治療期間の多くをマウスピースで進められるため、見た目のストレスを抑えやすくなります。
料金(税込)
※すべての矯正治療において、治療開始前に精密検査(税込¥38,500)を実施しております。
出っ歯には
マウスピースとワイヤーどっちがいい?
結論から言うと、「どれだけ前歯を下げる必要があるか」で変わります。
軽度〜中等度であれば、マウスピースで対応できるケースも多くあります。
一方、抜歯を伴う重度のケースや、歯根からしっかり動かす必要がある場合は、ワイヤーのほうが確実性が高いです。
さらに、両方を組み合わせるコンビネーション矯正という選択肢もあります。
ワイヤー矯正 5,000 症例
マウスピース矯正 1,000 症例
以上
両方の装置に精通しているからこそ、症状に応じた使い分けができます。
「どこまで下げるか」「どう動かすか」を診断で見極め、最適な装置を選定。
納得いただけるアプローチを、一緒に組み立てていきます。
無料矯正相談で疑問を解消
抜歯は必要? / 費用と期間は? / 私に合う装置は?
来院相談(60分)
3Dスキャナーで実際の歯の動きをシミュレーション。
画面で一緒に確認しながら、治療の見通しを分かりやすくご説明します。
オンライン相談(30分)
事前にお送りいただいた写真をもとに歯並びの状態をチェック。
お家にいながら来院相談と同等の、納得いく説明を受けていただけます。
「話を聞くだけ」「相談だけ」でも大丈夫です。
お気軽にご利用ください。
無理な勧誘は一切ございません
出っ歯矯正の
素晴らしい贈りもの
私自身、子どもの頃は前歯が出ているのがコンプレックスでした。
笑うとき、口元を手で隠すクセがありました。
それを変えてくれたのが、矯正治療です。
前歯が整うと、口元のバランスが変わる。
笑顔がすっきりして見える。
写真で思い切り笑える。
気づけば私は、性格まで前向きになっていました。
出っ歯の治療で大切なのは、「口元全体のバランス」です。
前歯だけを下げればいいわけではありません。
唇との調和、笑ったときの歯の見え方、口を閉じたときの自然さ。
これらを総合的に設計することで、違和感のない仕上がりを目指します。
治療後、どの患者さまも「笑顔に自信が持てた」「口元がすっきりした」とおっしゃいます。
あなたの出っ歯の悩みを、
一緒に解決しましょう。
まずは、お話を聞かせてください。
出っ歯(上顎前突)治療のロードマップ
精密な分析で「あなたに最適なゴール」を設計し、ご納得いただいてから治療をスタートします。

まずは、あなたのお悩みを聞かせてください。
口腔内スキャンで現状を可視化し、矯正歯科医による簡易診断も実施。
概算の費用・期間もこの段階でお伝えします。
※無理な勧誘は一切ありません

セファロ、歯科用CT、噌み合わせ、虫歯、歯周病まで徹底的に診ます。
このデータが、あなた専用の治療計画の土台になります。
所要時間:約30分/費用:38,500円(税込)

分析結果をもとに、具体的な治療計画をお伝えします。
マウスピースか、ワイヤーか、コンビネーションか。
期間はどれくらいか。費用はいくらか。
3Dシミュレーションで、治療後の歯並びと横顔を確認。
このゴールに納得いただいてから、ご契約です。
装置を装着し、治療開始。
オンライン診療の導入で、これまで毎月必要だった通院を大きく減らしました。
● マウスピース矯正:3〜6ヶ月に1回
●
ワイヤー矯正:2〜4ヶ月に1回
スマホで撮影した写真をAIが自動解析し、医師が変化を確認。
歯の状態を常に把握しているため、必要なときに的確な対応ができます。
オンライン診療について詳しく見る →
歯並びが整ったら、装置を外します。
ここからは「保定装置(リテーナー)」で後戻りを防ぐ期間。
整ったEラインと噛み合わせを、長く守るための大切なステップです。
よくあるご質問|出っ歯矯正
院長が直接お答えします
お子さまの出っ歯が気になる方へ
出っ歯は「早めの成長管理」で変わることがあります
お子さまの出っ歯は、前歯だけでなく顎の成長やクセ(口呼吸など)が関わることもあります。
1期治療(6〜10歳頃)
成長を活かして、上顎の幅や前歯が並ぶスペースを整えます。
結果として、将来の抜歯リスクや2期治療の負担を減らせる場合があります。
2期治療(11〜15歳頃)
永久歯が揃ってから、前歯の位置と噛み合わせを最終調整します。
1期がうまく進むと、2期が不要/短縮になるケースもあります。
当院の方針
お子さまの性格や生活に合わせて、無理なく続けられる方法をご提案します。
直営クリニック
どのクリニックも矯正医が診療。
よく通うエリアでお選びください。

渋谷院
東京都渋谷区渋谷1-8-6 VORT渋谷宮益坂 2F
渋谷駅徒歩3分

吉祥寺院
東京都武蔵野市吉祥寺南町1-10-1東ビル3F
吉祥寺駅徒歩2分
お近くの歯科でも、スマイルアクセス矯正を
「スマイルアクセス矯正プロパートナーズ」
スマイルアクセス矯正歯科の治療は、直営クリニックだけでなく、
全国のスマイルアクセス矯正プロパートナーズ加盟院でも受けられます。
スマイルアクセス矯正歯科の矯正医が診断と治療計画を責任を持って監修しており、
地域のかかりつけ歯科で確かな矯正治療を安心して始められます。
お近くの歯科でも、
スマイルアクセス矯正を
「スマイルアクセス矯正
プロパートナーズ」
スマイルアクセス矯正歯科の治療は、直営クリニックだけでなく、全国のスマイルアクセス矯正プロパートナーズ加盟院でも受けられます。
これらの歯科では、スマイルアクセス矯正歯科の矯正治療専門の医師が診断と治療計画を責任を持って監修しています。地域のかかりつけ歯科で、確かな矯正治療を安心して始められます。