smile access 矯正歯科|マウスピース型矯正装置(インビザライン公式スピーカーが監修)

カウンセリング予約

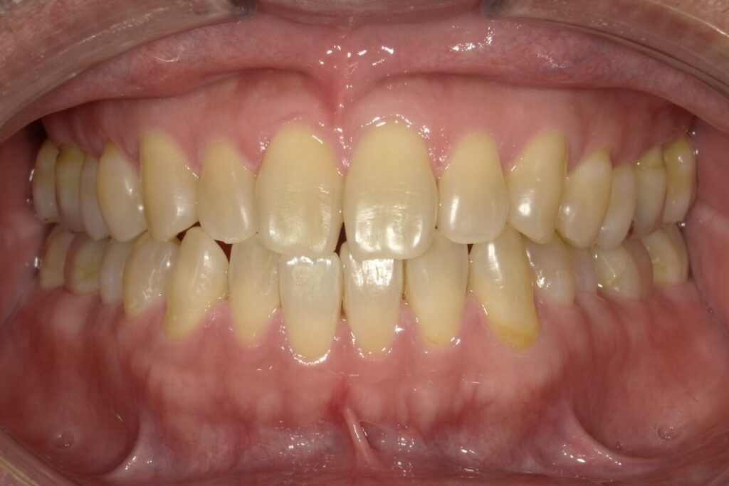
ガタガタ 40代男性(264)

BEFORE
AFTER
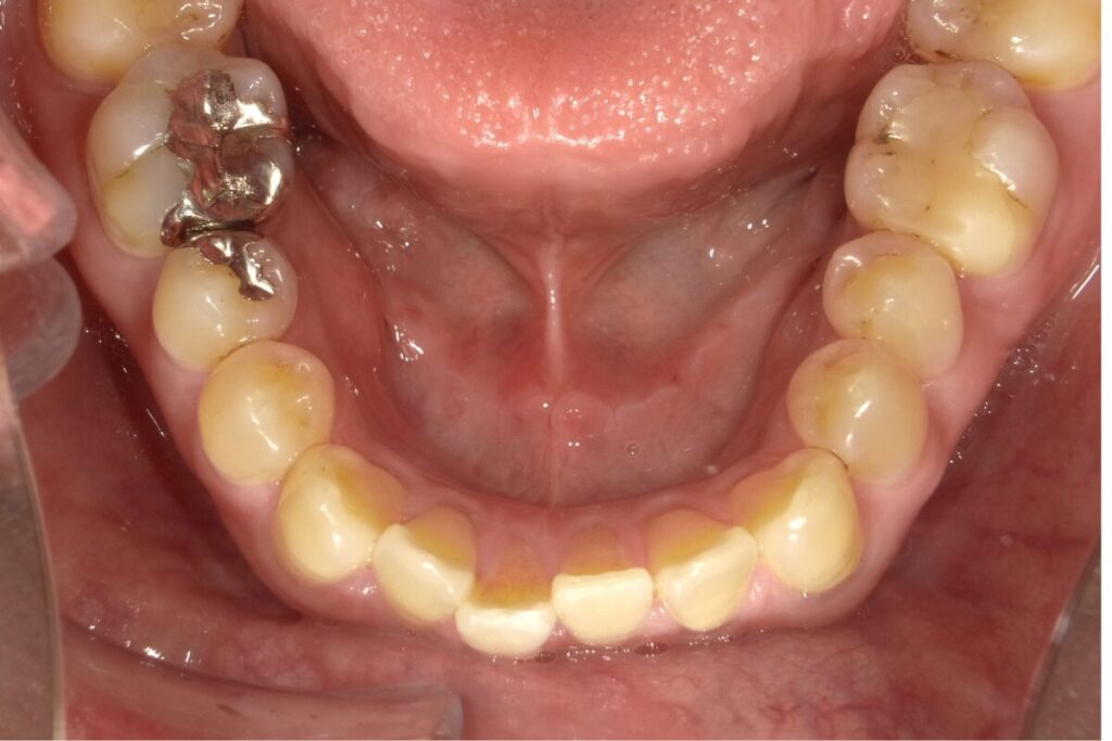
BEFORE
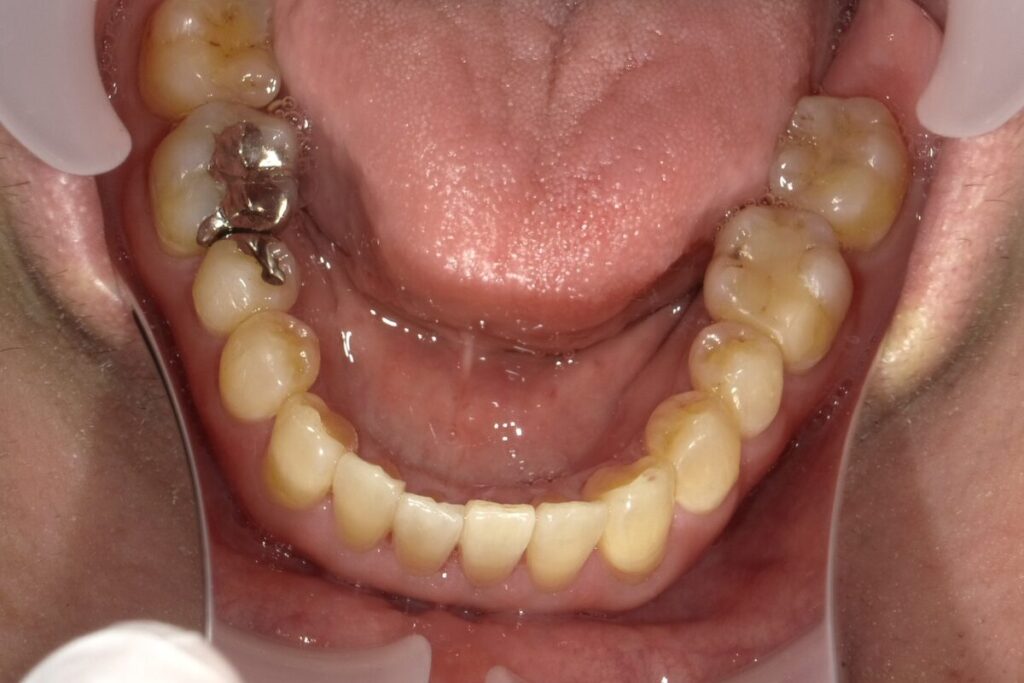
AFTER
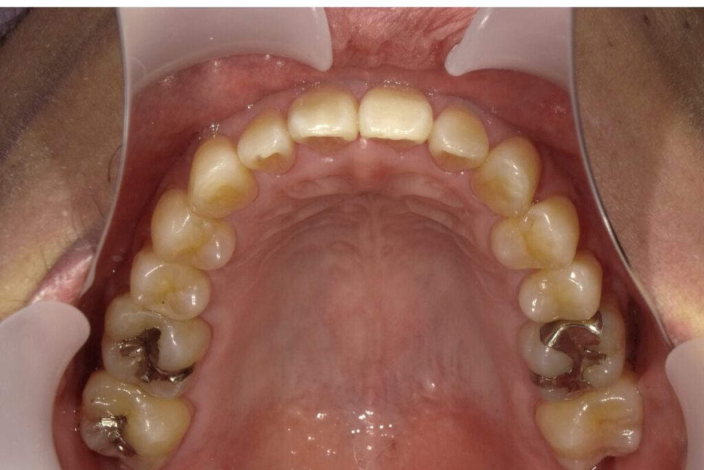
BEFORE
AFTER
患者 44歳男性
主訴 前歯のガタガタ、ねじれ
診断名 U1翼状捻転を伴うAngle I級症例
治療内容 マウスピース型矯正装置(インビザライン)
抜歯の有無 非抜歯
治療期間 6か月
費用(税込) 495,000円
リスクと副作用 痛み等、歯根吸収/歯肉退縮、後戻り、むし歯・歯肉炎の可能性。

PAGE TOP