| 患者 | 23歳女性 |
|---|---|
| 主訴 | 歯ならびのガタガタ、欠損歯 |
| 診断名 | 下顎先天欠如を伴う叢生 |
| 治療内容 | マウスピース型矯正装置(インビザライン) |
| 抜歯の有無 | 抜歯(上顎両側第一小臼歯) |
| 治療期間 | 2年4か月 |
| 費用(税込) | 968,000円 |
| リスクと副作用 | 痛み等、歯根吸収/歯肉退縮、後戻り、むし歯・歯肉炎の可能性(抜歯あり:痛み・腫れ)。 |
【医師コメント】
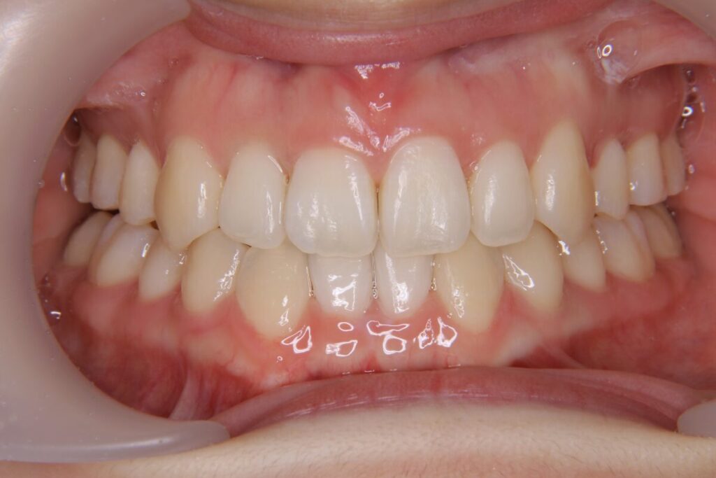
重度のガタつきに加えて「噛みにくい」との主訴で来院された患者さんです。
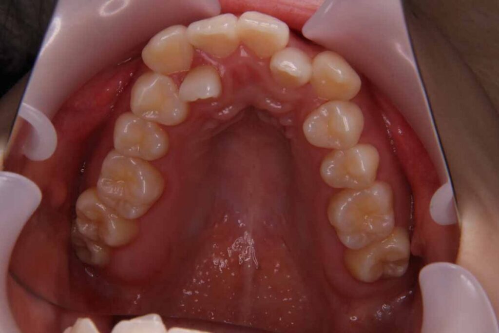
精密検査の結果、下顎の先天欠如を伴う叢生と診断しました。スペース確保ならびに下顎と歯の本数を合わせるため上顎両側第一小臼歯を抜歯し、マウスピース型矯正装置を主体に治療を計画しました。
歯の移動をより正確にコントロールする目的で、必要に応じて歯科矯正用アンカースクリューも併用し、歯列全体のバランスとかみ合わせの安定を意識しながら進めています。
治療は計画に沿って進行し、2年4か月で歯列の配列とかみ合わせの改善を図ることができました。






